日前,我院磁共振室团队成功完成了临夏州首例肝脏特异性造影剂普美显(钆塞酸二钠)肝脏多期增强检查。长期以来,我院磁共振室一直致力于精准检查、精准影像,在专病筛查方面不断探索研究。本次新型造影剂的应用再次凸显了影像学技术进步对临床精准治疗的贡献,也标志着我院医学影像科在精准医疗方面更上了一个新台阶,将满足人们对健康筛查的更高要求。
◆肝癌的诊治现状
2021年初,世界卫生组织国际癌症研究机构(IARC)发布了2020年全球最新癌症负担数据,全球每年原发性肝癌发病人数超过62.6万,中国发病人数约占全球55%。由于我国是乙肝大国,大部分肝硬化又是从乙肝演化而来的,因此乙肝是导致肝癌的重要原因之一。我国原发性肝癌患者中超过95%有病毒性肝炎肝硬化病史,特别是超过40岁的男性乙肝患者。由于乙肝病毒的持续感染,炎症促使纤维化病变将导致肝硬化甚至是肝癌的发生。
肝癌“三部曲”:10%的病毒性肝炎发展成慢性肝炎,50%的慢性肝炎发展成肝硬化,15%的肝硬化发展成肝癌。
◆逃离“肝癌三部曲”,定期复查是关键
“谈癌色变”很多时候是因为我们发现癌症时,癌症已经发展到人类束手无策的地步。而在发病早期,往往是可以对付的,就如肝癌,早期治愈率可达90%,所以关键在于检查。
临床上大部分病人都沿着“肝炎—肝硬化—肝癌”三部曲前进。其实防治肝癌的定期体检并不复杂,建议大家:平常体检时,只要抽血检查乙肝两对半、肝功能及血清甲胎蛋白,再加上肝脏影像学检查,完全可以轻松揪出早期肝癌,而且越早发现根治的可能性就越大。
近年来,随着影像技术的飞速发展,包括肝癌病灶在内的肝脏局灶性病灶的检出率明显提高,磁共振检查在肝脏局灶性病变的诊断与鉴别诊断中发挥着重要的作用。肝脏多模态MRI检查是肝癌临床检出、诊断、分期和疗效评价的优选影像技术。
随着我院磁共振技术的不断进步,经过磁共振技术团队的讨论,优化和学习,我院成功开展了肝胆特异性MRI对比剂钆塞酸二钠临床应用,旨在提高高危人群的肝癌筛查,肝癌和肝移植术前术后评估,以及肝脏肿瘤的良恶性鉴别有重要意义。
◆病例展示:
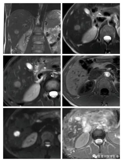
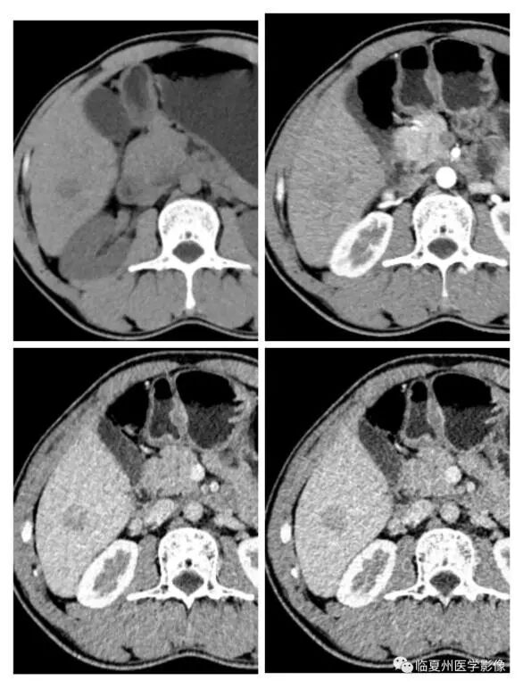
42岁的张先生在做CT检查时,发现肝右叶后下段有一个低密度结节,医生为其做了CT平扫及CT增强检查,只见肝右叶后下段有一枚直径约18毫米的稍低密度灶,定性诊断不明确,无法排除肝癌的可能性。为进一步明确病灶性质,我院磁共振室团队为其实行肝胆特异性造影剂——钆塞酸二钠MRI增强检查,检查后明确诊断为“小肝癌”。目前患者正积极准备行早期根治术。
CT平扫加增强扫描
磁共振平扫
肝特异性造影剂检查后,肝脏结节定性诊断更加精准,使肝癌病灶无所遁形。
钆塞酸二钠(Gd-EOB-DTPA)是一种肝胆特异性MRI对比剂,除具有普通磁共振造影剂动态增强特点外,其独特的肝胆特异期显象功能可以提高对肝脏局灶性病变的检出及定性诊断能力,尤其对微小病灶(直径<1.0cm)的检出和鉴别诊断具有优势。使用肝细胞特异性对比剂钆塞酸二钠(Gd-EOB-DTPA)可提高直径≤1.0cm肝癌的检出率以及对肝癌诊断与鉴别诊断的准确性,可明显提高小肝癌的诊断敏感性,同时有助于鉴别高度异型增生结节等癌前病变。
◆临夏州医院磁共振室特别提醒:
肝硬化患者应终身随访,每3-6月做一次影像检查,如B超、磁共振或普美显磁共振等,及早发现病变、及早治疗。

0930-6212297
医院新闻




