近日,我院口腔颌面外科团队在特聘专家兰大一院副主任医师杜洪亮的指导下,成功为一名高处坠落导致下颌骨多发骨折的年轻患者实施“髁状突骨折切开复位内固定术”。该手术属于口腔颌面外科领域的高难度手术,标志着我院在该领域实现重大技术突破,填补了临夏地区在此类手术上的空白。
9月11日凌晨,18岁的保安族青年马某因从约4-5米高的屋顶坠落,导致全身多处损伤、面部活动性出血,被紧急送至我院。经口腔科值班医生紧急清创缝合后收治入院。进一步检查发现,患者为下颌骨多发骨折,尤其以右侧髁状突骨折最为棘手,同时合并面部皮肤裂伤、多颗牙齿损伤、咬合关系严重紊乱及右侧踝关节骨折。
髁状突骨折分为髁头(囊内)、髁颈、髁基骨折,此患者属于髁头骨折(即囊内骨折),这一手术技术要求极高,一旦髁头骨折,若处理不当,极易导致患者长期面部疼痛、张口受限、咬合功能丧失等后遗症,治疗难度大、风险高。
迎难而上,多学科协作为患者赢转机
面对这一复杂伤情,我院口腔颌面外科团队迅速启动专家会诊机制,邀请我院特聘专家杜洪亮主任共同研讨。在全面评估患者情况后,团队一致认为:保守治疗难以恢复患者正常的颌骨结构与功能,必须尽快实施手术。
由于髁状突区域解剖结构复杂,紧邻面神经及重要血管,手术操作空间极为有限,稍有不慎就可能导致神经损伤等严重并发症,对主刀医生的经验与技术要求极高。

图1:颌面部CT三维重建冠状位影像(A)术前;(B)术后
图2:颌面部CT三维重建矢状位影像(A)术前;(B)术后
精细操作,两处骨折成功复位
在杜洪亮主任的带领下,手术团队为患者制定了周密的手术方案。手术分为两部分同步进行:经耳屏侧缘改良切口,行右侧髁状突骨折复位内固定;经口内切口,行左侧下颌骨体部骨折复位内固定。术中,团队在完美保护面神经的前提下,精准完成髁头骨折的复位与固定,有效规避了手术风险。术后患者咬合关系基本恢复,手术取得圆满成功。

图3:颌面部CT三维重建水平位影像(A)术前;(B)术后
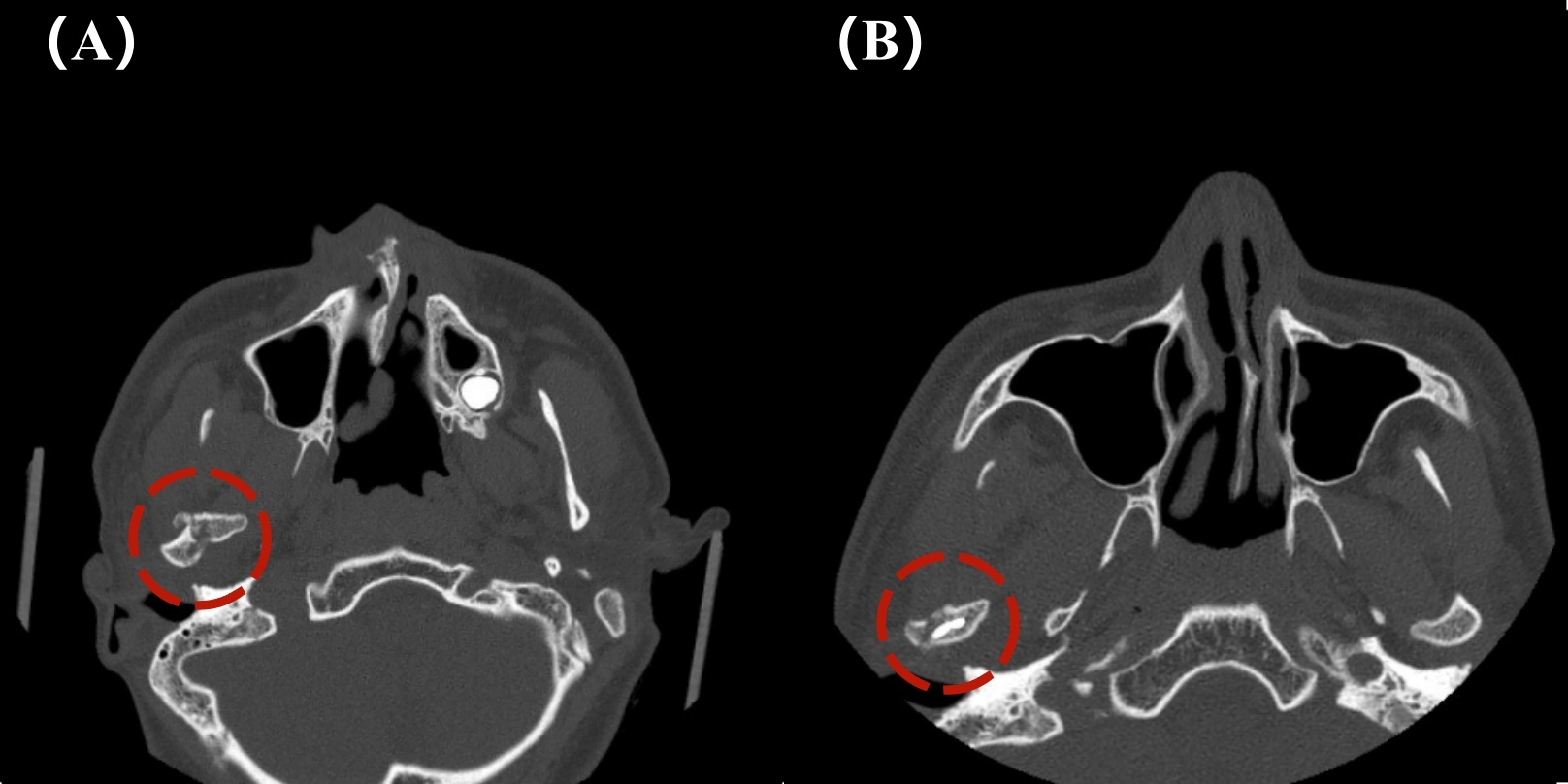
图4:颌面部CT平扫水平位影像(A)术前;(B)术后
髁状突(髁头)骨折切开复位内固定术是口腔颌面外科领域的高难度手术,此前在临夏地区尚未开展。此例手术的成功实施,不仅挽救了一位年轻患者的颌面功能和外观,更标志着我院口腔颌面外科诊疗水平迈上了新台阶。此例高难度手术的成功,得益于我院特聘专家的大力支持,体现了我院与省级顶尖医院的紧密协作成果,也是我院持续推进学科建设、不断提升医疗服务能力的生动体现。未来,临夏州人民医院口腔颌面外科将继续砥砺前行,积极引进和开展新技术、新项目,不断提升诊疗水平,为临夏及周边地区群众提供更加优质、高效的医疗服务,全力守护人民群众的口腔健康和生命安全。

0930-6212297
医院新闻




